咨询热线
400-810-0881
近日,在备受瞩目的Thermo年度经销商盛会上,中源公司不负众望,荣获了极具分量的“长期合作奖”。2024-03-14 16:51:00.0
世界卫生组织(WHO)每年都会预测南北半球候选流感病毒,作为各疫苗企业生产疫苗的风向标。2月23日,WHO正式发布2024-2025北半球季节性流感疫苗推荐组分,以便各国和疫苗厂商研发生产流感疫苗。2024-02-23 11:16:00.0
2024年1月27日,中源公司在北京威斯汀酒店成功举办2023年度工作总结大会。时隔疫情三年,中源公司全体员工再次线下相聚,彰显了中源人团结奋进、携手前行的精神。2023年是艰难的一年,但全体中源人依旧坚信“没有一个冬天不可逾越,没有一个春天不会来临”。中源公司也必将在2024年经受住风雨的洗礼,接续奋斗,逐梦而行!2024-02-05 14:37:00.0
热烈祝贺中源公司新增2024年Cytiva Pall?产品线部分产品授权2024-02-04 13:20:00.0
宿主细胞残留DNA是指可能出现于生物制品中的来自宿主细胞的DNA片段。用传代细胞株或者微生物发酵生产的生物制品,其宿主残留DNA因具有潜在的致癌性、感染性及免疫原性而存在潜在的危害性。 2024-01-17 16:08:00.0
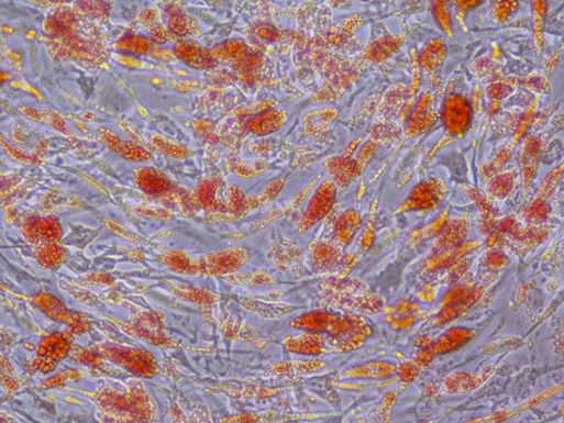
微生物组(Microbiome)是指一个特定环境中的微生物群,它们生活在一定环境空间,相互影响并彼此平衡,从而形成了相对稳定的生态环境。 2024-01-12 16:05:00.0
肥胖!一个高频出现在我们视野中的词汇,不断在社会美学的议题中反复探讨、在身体健康的标准中多次度量、在医药研发中重点关注!在多重社会视野的曝光下,肥胖不仅仅影响着人们的审美,同时也是多种非传染性疾病罹患的重大风险因素。2024-01-12 16:05:00.0
目前,可用于疫苗等生物制品生产的表达系统有多种细胞,比如各种动物的原代细胞、二倍体细胞、传代细胞等。2023-12-20 09:35:00.0